
iRadTech is a comprehensive radiographic positioning guide designed for medical imaging professionals and students. The application provides detailed instructions for over 200 radiographic positions, covering technical factors, patient positioning, and image quality points.
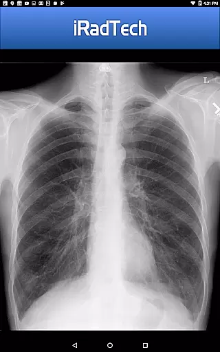
One of the standout features of iRadTech is its ability to suggest digital imaging systems technical factor settings for all positions, except nephrotomography. This ensures that users can achieve optimal imaging results in various clinical scenarios. Additionally, the app includes representative radiographic images that can be enlarged for closer inspection, aiding in accurate positioning and technique refinement.
The app serves as a convenient study aid for radiography students and a valuable reference tool for technologists and clinical instructors. Developed using ARRT Content Specifications, it includes nearly all ARRT entry-level radiographic positions, making it an essential resource for those preparing for certification exams or seeking to enhance their professional practice.
iRadTech offers a rich set of features tailored to the needs of medical imaging professionals. One key feature is the detailed instruction set for more than 200 radiographic positions, which includes technical factors, image receptor size and orientation, and patient positioning guidelines.
A unique aspect of iRadTech is its My Routines function, allowing users to group selected positions into a saved routine, streamlining workflow and enhancing efficiency. The app also includes a My Notes function, enabling users to save notes unrelated to specific positions, thus serving as a versatile tool for personal knowledge management.
Developed by experienced radiography educators, iRadTech references the most recent ASRT Radiography Curriculum and national positioning texts. This ensures that the information provided is not only comprehensive but also up-to-date with current educational standards and practices in the field of radiography.
In the field of medical imaging, the credibility of content is paramount for both professionals and students. iRadTech ensures this by providing detailed instructions for over 200 radiographic positions, each meticulously crafted to include technical factors, patient positioning, and image quality points.
The application has been developed using ARRT Content Specifications, ensuring that nearly all entry-level radiographic positions are covered. This adherence to industry standards guarantees that users are accessing information that is not only credible but also aligned with professional requirements.
Furthermore, iRadTech's content is written and edited by two Ph.D. radiography educators, each boasting more than 30 years of teaching experience. Their expertise ensures that the information provided is authoritative and reliable, making it an essential tool for anyone in the medical imaging field.
While iRadTech does not offer teleconsultation services directly, its comprehensive resources significantly enhance the quality of remote consultations. By providing suggested digital imaging systems technical factor settings for all positions, except nephrotomography, it ensures that technologists can produce high-quality images crucial for accurate diagnosis during teleconsultations.
The app includes representative radiographic images that can be enlarged for closer inspection, allowing healthcare providers to discuss imaging details with clarity and precision. This feature supports effective communication between radiologic technologists and physicians, even when they are not physically present in the same location.
Additionally, the My Routines function allows grouping selected positions into a saved routine, streamlining workflow efficiency. These capabilities contribute to maintaining high standards in teleconsultation quality, ensuring that both patients and healthcare providers receive the best possible support from iRadTech.
Comprehensive position coverage
High-quality radiographic images
User-friendly interface
Customizable routines
Expert-developed content
No offline functionality
Limited advanced techniques
Occasional update delays
Subscription-based model
Interface not intuitive for beginners

A comprehensive medical disease app.

Secure video visits with your VA care team from anywhere

Manage your prescriptions and pharmacy care anytime, anywhere.

Log your symptoms in the MyZio app — the perfect companion to the Zio monitor!

Take your aphasia therapy to the next level with 4 evidence-based advanced apps

Take on apraxia and aphasia with a powerful video-driven speech therapy app.

The world's best selling 3D Human Anatomy app with groundbreaking 3D technology

The Client Portal app empowers you to manage care from one secure place

MyChart for Android

Elegant, easy-to-use period tracker for fertility, PMS symptoms, and more

Donating blood and platelets is easier than ever with The American Red Cross.

Discover the source of pain with Muscle Trigger Point Anatomy.

Adaptive-learning flashcards and quizzes for the Top 250 Drugs

Blue Cross and Blue Shield of Texas member information

Perform pure-tone audiometry and a speech intelligibility test on your phone.

Hearing aid app for Android solves your hearing problems.

Conveniently receive lab results, schedule lab appointment and pay your bills

Care Simplified by MyChart

A rapid reference for prehospital providers caring for pediatric patients.
User Reviews